はじめ歯科の小児歯科では、お口から全身の健康を育てる「口育」にも力を入れています。
当院の小児歯科では、虫歯の予防や治療はもちろんのこと、全身の健康にも目を向けています。
成長期真っ只中の、大切なお子様の発育途中で、”歯並び”や”噛み合わせ”をお口の中だけという視点ではなく、全身の健康状態なども含めて総合的に拝見することを大切にしています。
お子様のお口のことなら、いつでもご相談ください。
虫歯治療やシーラント処置、定期的なクリーニングと高濃度のフッ素塗布もおこなっています。
虫歯治療
お子様の虫歯治療は、はじめ歯科にご相談ください。
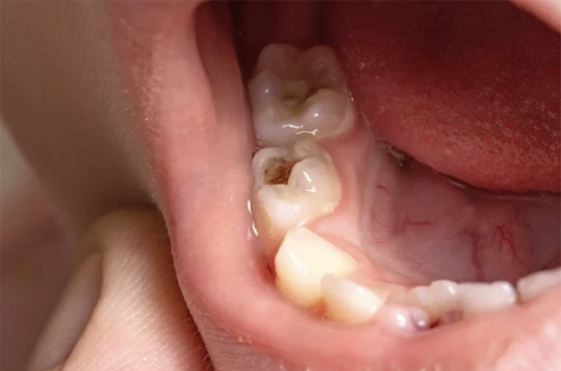
お子様の虫歯治療について
お子様のむし歯は、とても進行が早いのをご存知ですか?
昨今、お子様の虫歯は減少傾向にあるとは言われていますが、まだまだゼロにはなりません。
そんな中で、当院では虫歯の治療を安心してお任せいただける工夫があります。
歯医者さんに慣れる、治療ができる、自信がつく
はじめ歯科では、治療を嫌がるお子様でも段階を追って慣れていただき、治療が出来て自信が持てるようになる取り組みをしています。
治療ができるか不安な方でも、ぜひ一度お越しください。
予防歯科
はじめ歯科の予防歯科にはお子様のお口の健康を守る4つのメニューがあります。
歯磨き指導
お子様の歯を守るために、一番大切なのはホームケアでの歯磨きです。
歯磨き指導は、お子様に直接楽しく指導する方法はもちろんのこと、お子様の保護者の方が行う仕上げ磨きの方法についても詳しく解説、レクチャーをさせていただきます。
仕上げ磨きは、お子様が1人で歯磨きできるようになるまで、長きに渡って保護者の方がサポートする大切な時間です。はじめ歯科では、親子で楽しく歯磨き指導を受けていただけます。
歯のクリーニング
お子様の歯のクリーニングの習慣を幼い頃から身につけておくことで、大人になった時でも定期的なクリーニングでの通院が習慣になります。
そうすることで、将来のお口の健康を守ることができるのです。お口や体の健康は、その人のかけがえのない財産です。
健康的な習慣を身につけられるように、はじめ歯科でもサポートをさせていただきます。
シーラント処置
シーラント処置は、歯の表面の溝を埋めてむし歯になりにくくする処置です。
奥歯の噛み合わせる面の溝は特にむし歯になりやすいので、シーラントを使用して歯を削ることなく、埋めていきます。
高濃度フッ素塗布
歯科医院でのみ使用することのできる、高濃度のフッ素を定期的に塗布します。
高濃度のフッ素を定期的に塗布することで、むし歯の出す酸に溶かされにくい歯へと強化されます。
泣いてしまうお子様へ
- 歯医者さんが嫌い
- 病院関係は怖くて泣いてしまう
- 泣いて治療ができないことがあった
このようなお悩みありませんか?
はじめ歯科では、お子様の治療では以下のことを大切にしています。
泣いてしまっても大丈夫
院長も二児の父ですので、お子様が泣いても大丈夫です、ご安心ください。
最初は慣れない場所や人に戸惑うこともあると思います。
少しずつ慣れてもらうように、落ち着いてお話ができるようにします。
一緒に歯磨き
最初は治療ができなくても大丈夫です。
慣れてもらうために、歯磨きをしてお話をするなどで2回目以降に治療ができるように誘導していきます。この方法で、今までほとんどのお子様が治療を受けることが出来ました。
お子様連れに嬉しい当院の設備紹介
キッズルームあり
楽しく遊べる大きめのキッズルームがあります、お子様がまた来たくなるようなラインナップでお待ちしています。
おむつ替えシートも完備
おむつ替えシートがありますので、人目を気にせずゆっくりとおむつ替えをしていただけます。
ベビーカー乗り入れで土足OKの広々とした診療室
ベビーカーの乗り入れがOKの広々とした診療室なので、気兼ねなくお越しいただけます。
ご兄弟で一緒にご来院も可能です、赤ちゃんを連れてのご来院も大歓迎です。



